Комбинация функций TDI и Free Xros CM

Дата публикации: 11.05.2023

М-режим — один из наиболее старых методов сканирования. Более современная версия — это свободный М-режим, который также называют Free Xros M. Однако, технология не остановилась на этом и на современных УЗ аппаратах доступен изогнутый М-режим - Free Xros CM.

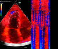
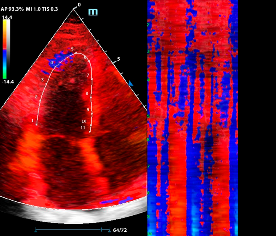
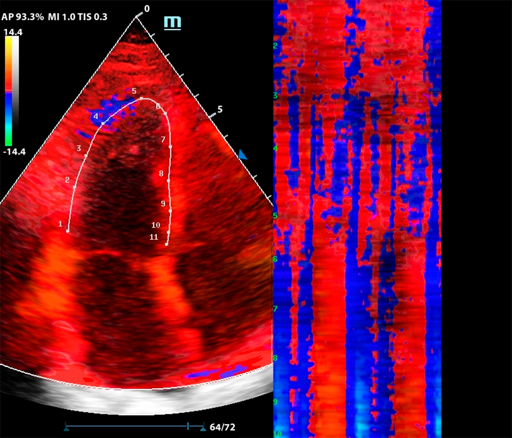
Функция изогнутого М-режима особенно интересна в комбинации с тканевым допплером (TDI). Оконтуривание миокарда в цветовой карте TDI позволяет оценить кинетику левого желудочка посегментно, в виде цветовой карты на графике Free Xros CM.

Метод разворачивает левый желудочек в плоскую палитру движений за счет окраски тканевого допплера, это позволяет сравнить кинетику в каждом моменте цикла сокращения и расслабления.
 

По всем вопросам обращайтесь к специалистам компании MEDLIGA, поможем с выбором необходимой медицинской техники под ваши задачи и бюджет.

Оставить заявку

 
Все статьи Следующая статья
Награды Mindray
Официальный дистрибьютор Mindray
MEDLIGA - официальный дистрибьютор Mindray №1 в России*

8 лет лидерства (2017-2024 г.)

* ежегодная аналитика компании Mindray

Сервисный центр Mindray
MEDLIGA - Золотой сервисный центр Mindray

Сервисный центр удостоен награды Mindray “Gold Service Channel” по итогам 2020, 2022, 2023 и 2024 гг.