Обзор функции УЗИ: HD Scope - улучшение детализации и контрастности

Дата публикации: 14.11.2019

Визуализация объекта исследования – основная задача ультразвукового прибора. Нашим основным желанием всегда была идеальная визуализация, чтобы зона интереса сканируемого органа отображалась максимально детально, но при этом очень четко. Желаемый образ на экране должен быстро реагировать, обновляться, иметь высокую частоту кадров.
 
Ранее доктора искали компромисс между детализацией картины и контрастностью контуров, настраивая динамический диапазон. Изменяя количество оттенком серого, ловили заветную середину - наиболее информативную сонограмму. В случае же глубоколежащих структур увеличивали персистентность - инерционность изображения получаемого из нескольких склеенных кадров с фильтрацией шумов. При высокой персистентности значительно падала частота кадров, видео петля выглядела заторможенно, детализация и контрастность снижались.

Функция в ультразвуковых аппаратах

Производители ультразвуковых приборов постоянно работают над облегчением рабочего процесса доктора ультразвуковой диагностики, на этот раз компания Mindray добавила в экспертные и премиум аппараты, такие как Resona 6 и Resona 7, функцию HD Scope.
 
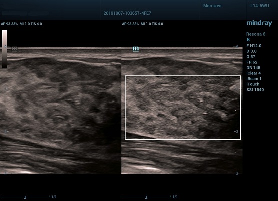
HD Scope позволяет достигать поразительной разрешающей способности выбранной зоны сканирования, при этом улучшая как детализацию, так и контрастность изображения. Помимо пространственного разрешения мы получаем преимущество и по разрешению во времени. Прибор получает огромное количество нативных изображений практически одновременно, и при сборе итоговой картины не происходит смещения объекта под датчиком, а значит и нет размывания изображения. Все участки раздела фаз, каждый контур образования теперь видны, мы все ближе к идеальной картинке.
 
Как он работает? Особенностью платформы ZST+, на которой построены приборы Mindray Resona, является так называемое многолучевое сканирование. В отличие от обычного датчика, который получает изображение в виде прямого эхо, датчики приборов этой серии проводят многолучевое сканирование каждым элементом с огромной скоростью, получая огромное количество данных. Затем происходит сложная постобработка и сбор из множества «многолучевых» снимков идеальной картинки.
 
Вторая особенность ультразвуковых машин данной линейки — это изменение расчетных констант распространения ультразвука, таким образом прибор перебирает для каждой ткани свои значения скоростей волны и пересчитывает каждую точку, делая менее выраженным поглощение по глубине. Эти особенности позволили использовать без фокусные технологии сканирования. Функция HD Scope позволяет использовать эти ресурсы для исследование небольшой области, значительно увеличивая качество изображения.
Все статьи Следующая статья
Награды Mindray
Официальный дистрибьютор Mindray
MEDLIGA - официальный дистрибьютор Mindray №1 в России*

8 лет лидерства (2017-2024 г.)

* ежегодная аналитика компании Mindray

Сервисный центр Mindray
MEDLIGA - Золотой сервисный центр Mindray

Сервисный центр удостоен награды Mindray “Gold Service Channel” по итогам 2020, 2022, 2023 и 2024 гг.

Связанные товары